Megan - liebe Schäferhund-Seniorin sucht ein ebenerdiges Zuhause mit Herz
Inseratstyp: Biete
Inserats-ID: 3074441
Einstelldatum: 19.03.2026
Inseratsaufrufe: 19
250 € VB SchutzgebührInserats-ID: 3074441
Einstelldatum: 19.03.2026
Inseratsaufrufe: 19
Last Hope e. V.
Last Hope e. V.
51597 MorsbachDeutschland
Aktiv seit: 25.08.2023
Anbieter kontaktieren
3074441
250 € VB
19.03.2026
Rassehunde
Deutscher Schäferhund
Hündin
10 Jahre
Dreifarbig Braun Schwarz
Spanien
Mittelgroß (bis 60cm)
- Kinderfreundlich
- für Senioren geeignet
- für Familien geeignet
- für Hundeanfänger geeignet
- verträglich mit anderen Hunden
- kastriert/sterilisiert
- geimpft (mind. Pflichtimpfungen)
- entwurmt
- gechipt
- mit EU-Heimtierausweis
- aus dem Tierheim
- Stubenrein
- Tierschutzgesetz §11
Beschreibung
Megan
* Rasse: Deutscher Schäferhund
* Hündin
* gechipt, geimpft, kastriert
* geboren: Februar 2016
* Größe: 58 cm
* Gewicht: ca. 25 kg
* Negativer Test auf Mittelmeerkrankheiten
* Aufenthaltsort: Spanien-Murcia
* Endzuhause oder auch Pflegestelle gesucht
Megan - liebe Schäferhund-Seniorin sucht ein ebenerdiges Zuhause mit Herz
Megan ist eine liebe Deutsche Schäferhund-Hündin, geboren im Februar 2016, und wartet in Murcia, Spanien, auf ihr Zuhause oder eine Pflegestelle. Sie ist gechipt, geimpft, kastriert, negativ auf Mittelmeerkrankheiten getestet und zeigt sich sehr gutmütig, anhänglich und menschenbezogen. Mit anderen Hunden ist sie verträglich, kinderfreundlich, autofreundlich und läuft gut an der Leine.
Mit ihren zehn Jahren ist Megan eine Seniorin, aber auch ein Senior hat die Chance auf ein liebevolles Zuhause mehr als verdient. Gerade ältere Hunde werden oft übersehen, obwohl sie so viel Liebe, Treue und Dankbarkeit schenken können.
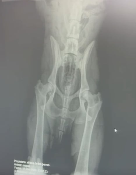
Rassetypisch für einen Deutschen Schäferhund ist Megan loyal, sensibel und eng am Menschen orientiert. Leider hat sie eine ziemlich ausgeprägte Hüftdysplasie. Deshalb sucht sie ein ruhiges, möglichst ebenerdiges Zuhause, in dem sie keine Treppen laufen muss. Ins Auto sollte sie nicht springen, sondern getragen oder mit einer Rampe unterstützt werden. Kurze, ruhige Spaziergänge, ein weicher Liegeplatz und Menschen, die Rücksicht auf ihre Gelenke nehmen, wären für sie ideal.
Auch wenn Megan älter ist und gesundheitliche Einschränkungen mitbringt, hat sie die Chance auf ein schönes Zuhause oder ein Haus mit Garten verdient, solange ihr Alltag gut angepasst wird. Sie sucht Menschen mit Herz, die ihr Geborgenheit, Fürsorge und einen sicheren Platz schenken.
* Rasse: Deutscher Schäferhund
* Hündin
* gechipt, geimpft, kastriert
* geboren: Februar 2016
* Größe: 58 cm
* Gewicht: ca. 25 kg
* Negativer Test auf Mittelmeerkrankheiten
* Aufenthaltsort: Spanien-Murcia
* Endzuhause oder auch Pflegestelle gesucht
Megan - liebe Schäferhund-Seniorin sucht ein ebenerdiges Zuhause mit Herz
Megan ist eine liebe Deutsche Schäferhund-Hündin, geboren im Februar 2016, und wartet in Murcia, Spanien, auf ihr Zuhause oder eine Pflegestelle. Sie ist gechipt, geimpft, kastriert, negativ auf Mittelmeerkrankheiten getestet und zeigt sich sehr gutmütig, anhänglich und menschenbezogen. Mit anderen Hunden ist sie verträglich, kinderfreundlich, autofreundlich und läuft gut an der Leine.
Mit ihren zehn Jahren ist Megan eine Seniorin, aber auch ein Senior hat die Chance auf ein liebevolles Zuhause mehr als verdient. Gerade ältere Hunde werden oft übersehen, obwohl sie so viel Liebe, Treue und Dankbarkeit schenken können.
Rassetypisch für einen Deutschen Schäferhund ist Megan loyal, sensibel und eng am Menschen orientiert. Leider hat sie eine ziemlich ausgeprägte Hüftdysplasie. Deshalb sucht sie ein ruhiges, möglichst ebenerdiges Zuhause, in dem sie keine Treppen laufen muss. Ins Auto sollte sie nicht springen, sondern getragen oder mit einer Rampe unterstützt werden. Kurze, ruhige Spaziergänge, ein weicher Liegeplatz und Menschen, die Rücksicht auf ihre Gelenke nehmen, wären für sie ideal.
Auch wenn Megan älter ist und gesundheitliche Einschränkungen mitbringt, hat sie die Chance auf ein schönes Zuhause oder ein Haus mit Garten verdient, solange ihr Alltag gut angepasst wird. Sie sucht Menschen mit Herz, die ihr Geborgenheit, Fürsorge und einen sicheren Platz schenken.
Weitere Informationen
Unsere Passion ist die Rettung spanischer Straßenhunde. Wir arbeiten mit drei kleinen, wundervollen Auffangstationen vor Ort zusammen, die ihre Schützline gut kennen und einschätzen können.Wir hoffen so viele Hunde wir möglich, retten zu können.
Impressum
Der Tierschutzverein Last Hope e.V. ist im Vereinsregister Gummersbach unter der Registernummer VR 3935 eingetragen und als gemeinnütziger Verein beim Finanzamt Gummersbach geführt. Die Erlaubnis nach §11 TSchG zum gewerblichen Handel mit Hunden liegt vor
Anbieter
Last Hope e. V.
Last Hope e. V.
Last Hope e. V.
51597 Morsbach
Deutschland
,
Www.last-hope-ev.de
Kontakt zum Anbieter aufnehmen
* Diese Felder müssen ausgefüllt werden
Indem Du auf "Nachricht senden" klickst, akzeptierst Du unsere Datenschutzerklärung und unsere AGB
Nachricht senden
Weitere Inserate des Anbieters
Diese Inserate könnten Dir auch gefallen
Last Hope e. V.
Last Hope e. V.
Last Hope e. V.
51597 Morsbach
Deutschland
,
Www.last-hope-ev.de
Anbieter kontaktieren