YONDU - lernen, kuscheln, Spiel + Spaß... wer zeigt mir die große weite Welt?
Inseratstyp: Biete
Inserats-ID: 2990174
Einstelldatum: 24.10.2025
Inseratsaufrufe: 6
400 € SchutzgebührInserats-ID: 2990174
Einstelldatum: 24.10.2025
Inseratsaufrufe: 6
Tiewald e.V
Tierwald e.V.
51491 OverathDeutschland
Aktiv seit: 20.07.2018
Anbieter kontaktieren
2990174
400 €
24.10.2025
Mischlingshunde
Mischling
Rüde
3 Jahre
Dreifarbig Braun Schwarz
Kroatien
Mittelgroß (bis 60cm)
- Kinderfreundlich
- für Familien geeignet
- verträglich mit anderen Hunden
- kastriert/sterilisiert
- geimpft (mind. Pflichtimpfungen)
- entwurmt
- gechipt
- mit EU-Heimtierausweis
- aus dem Tierheim
- Tierschutzgesetz §11
Beschreibung
YONDU – Tierwald e. V.
Name: Yondu
Chipnummer: 212890
Geschlecht: männlich
Rasse: Mischling
Geboren: 05. August 2022
Größe: ca. 57 cm
Geimpft: ja
Gechipt: ja
Kastriert/Sterilisiert: bei Abgabe ja
Aufenthaltsort: Tierheim Prijatelji/Kroatien
Die Übergabe erfolgt in 51491 Overath
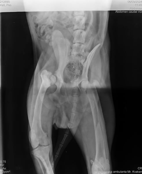
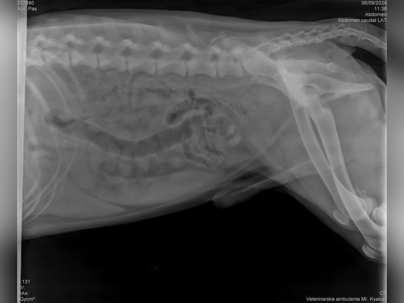
Bemerkungen: Ein Hinterbein ist etwas kürzer
Yondu ist ein stattlicher Rüde und er stammt aus einer Romasiedlung.
Wir durften ihn deshalb ohne Probleme mit ins Tierheim nehmen, da Yondu Probleme mit der Hüfte und ein etwas kürzeres Beinchen hat. Youdu hat bei einen Besuch beim Tierarzt entsprechende Röntgenbilder von Hüfte und Hinterbeinchen, die den Interessierten in der Bildergalerie zur Verfügung gestellt werden.
Yondu lässt sich allerdings von seiner Beeinträchtigung den Spaß nicht verderben, denn er genießt nun sein neues Leben. Hauptsächlich das Trainingsgelände, in dieses hat sich Youdu verliebt. Platz zum Laufen und zum Rennen, Menschen, die sich mit ihm beschäftigen, leckere Kekse und natürlich auch Lernen und Üben, alles Dinge die Yondu liebt. Daher hält er sich sehr gerne im Trainingsgelände auf. Dort hat er auch zusammen mit seiner Trainerin das Laufen an der Leine gelernt.
In seinem Gehege lebt Yondu mit Hündinnen zusammen und das klappt sehr gut.
Yondu sucht Menschen, die sich gerne mit ihm beschäftigen, die mit ihm lernen und üben und ihm die große weite Welt zeigen. Das Hunde-Einmaleins würde Yondu gerne lernen denn er möchte wissen, wie er sich bei seiner neuen Familie benehmen sollte. Yondu weiß, dass Frauchen und Herrchen ihm beim Lernen unterstützen und ihm alles erklären und zeigen, damit er dies dann auch korrekt umsetzen kann.
Yondu lebt sehr gut mit seiner Beeinträchtigung, er lässt sich davon allerdings den Spaß und auch seine Fröhlichkeit nicht nehmen. Yondu sucht nun gleichgesinnte Menschen mit denen er gerne zusammenleben würde.
Yondu genießt die Zeit im Trainingsgelände. Augenscheinlich kann man von einer Beeinträchtigung nichts feststellen.
https://www.youtube.com/watch?v=tD5Fn6P_qCk
Yondu ist aktiv unterwegs – augenscheinlich von der Beeinträchtigung keine Spur?
https://www.youtube.com/watch?v=2dfLOsbxF6Q
Yondu und Cari beim Spaziergang. Man muss genau hinschauen, um seine Beeinträchtigung überhaupt wahrzunehmen
https://www.youtube.com/watch?v=Gqz2dS8OrcE
Yondu ist so zart, auch zu anderen Tieren
https://www.youtube.com/shorts/M0sL-6O8YA4
Das erste Video stammt vom September 2024, die restlichen drei Videos wurden im September 2025 aufgenommen
Wir fahren monatlich nach Kroatien und in die Slowakei, um Sachspenden zu unseren Partner-Tierheimen zu bringen. Die Hunde, die ein Zuhause gefunden haben, dürfen dann mit uns nach Deutschland ausreisen. Sie sind geimpft, gechipt, kastriert und werden mit Schutzvertrag und gegen Schutzgebühr vermittelt. Die Schutzgebühr beinhaltet unter anderem das Impfen und Chipen, die Kastration/Sterilisation und den Transport.
Welpen werden altersgerecht geimpft und sind noch nicht kastriert.
Bei Interesse oder Fragen zu den Hunden wenden Sie sich bitte an die untenstehenden Kontaktpersonen, entweder telefonisch, per E-Mail, oder über das Kontaktformular.
Bitte senden Sie uns zur besseren Kontaktaufnahme Ihre Telefonnummer und/oder E-Mail-Adresse mit. Vielen Dank.
Tierwald e.V.
Kontakt:
Helke Roßler: [email protected] 0171-1424428
Waltraud Sonnenberg: [email protected] 01705414494
Gunda Linden: [email protected] 01638714206
Manuela Wittrock: [email protected] 01512- 0213931
Julia Krzencek: [email protected]
www.tierwald.eu
Aktuell sind viele Hunde in unseren Partnertierheimen in Kroatien und in der Slowakei, Hunde in jedem Alter, vom Welpen bis zum Senior, von klein bis groß.
Bitte sprechen Sie uns einfach an, wir helfen Ihnen gerne bei der Auswahl des Hundes, der zu Ihnen passt.
Name: Yondu
Chipnummer: 212890
Geschlecht: männlich
Rasse: Mischling
Geboren: 05. August 2022
Größe: ca. 57 cm
Geimpft: ja
Gechipt: ja
Kastriert/Sterilisiert: bei Abgabe ja
Aufenthaltsort: Tierheim Prijatelji/Kroatien
Die Übergabe erfolgt in 51491 Overath
Bemerkungen: Ein Hinterbein ist etwas kürzer
Yondu ist ein stattlicher Rüde und er stammt aus einer Romasiedlung.
Wir durften ihn deshalb ohne Probleme mit ins Tierheim nehmen, da Yondu Probleme mit der Hüfte und ein etwas kürzeres Beinchen hat. Youdu hat bei einen Besuch beim Tierarzt entsprechende Röntgenbilder von Hüfte und Hinterbeinchen, die den Interessierten in der Bildergalerie zur Verfügung gestellt werden.
Yondu lässt sich allerdings von seiner Beeinträchtigung den Spaß nicht verderben, denn er genießt nun sein neues Leben. Hauptsächlich das Trainingsgelände, in dieses hat sich Youdu verliebt. Platz zum Laufen und zum Rennen, Menschen, die sich mit ihm beschäftigen, leckere Kekse und natürlich auch Lernen und Üben, alles Dinge die Yondu liebt. Daher hält er sich sehr gerne im Trainingsgelände auf. Dort hat er auch zusammen mit seiner Trainerin das Laufen an der Leine gelernt.
In seinem Gehege lebt Yondu mit Hündinnen zusammen und das klappt sehr gut.
Yondu sucht Menschen, die sich gerne mit ihm beschäftigen, die mit ihm lernen und üben und ihm die große weite Welt zeigen. Das Hunde-Einmaleins würde Yondu gerne lernen denn er möchte wissen, wie er sich bei seiner neuen Familie benehmen sollte. Yondu weiß, dass Frauchen und Herrchen ihm beim Lernen unterstützen und ihm alles erklären und zeigen, damit er dies dann auch korrekt umsetzen kann.
Yondu lebt sehr gut mit seiner Beeinträchtigung, er lässt sich davon allerdings den Spaß und auch seine Fröhlichkeit nicht nehmen. Yondu sucht nun gleichgesinnte Menschen mit denen er gerne zusammenleben würde.
Yondu genießt die Zeit im Trainingsgelände. Augenscheinlich kann man von einer Beeinträchtigung nichts feststellen.
https://www.youtube.com/watch?v=tD5Fn6P_qCk
Yondu ist aktiv unterwegs – augenscheinlich von der Beeinträchtigung keine Spur?
https://www.youtube.com/watch?v=2dfLOsbxF6Q
Yondu und Cari beim Spaziergang. Man muss genau hinschauen, um seine Beeinträchtigung überhaupt wahrzunehmen
https://www.youtube.com/watch?v=Gqz2dS8OrcE
Yondu ist so zart, auch zu anderen Tieren
https://www.youtube.com/shorts/M0sL-6O8YA4
Das erste Video stammt vom September 2024, die restlichen drei Videos wurden im September 2025 aufgenommen
Wir fahren monatlich nach Kroatien und in die Slowakei, um Sachspenden zu unseren Partner-Tierheimen zu bringen. Die Hunde, die ein Zuhause gefunden haben, dürfen dann mit uns nach Deutschland ausreisen. Sie sind geimpft, gechipt, kastriert und werden mit Schutzvertrag und gegen Schutzgebühr vermittelt. Die Schutzgebühr beinhaltet unter anderem das Impfen und Chipen, die Kastration/Sterilisation und den Transport.
Welpen werden altersgerecht geimpft und sind noch nicht kastriert.
Bei Interesse oder Fragen zu den Hunden wenden Sie sich bitte an die untenstehenden Kontaktpersonen, entweder telefonisch, per E-Mail, oder über das Kontaktformular.
Bitte senden Sie uns zur besseren Kontaktaufnahme Ihre Telefonnummer und/oder E-Mail-Adresse mit. Vielen Dank.
Tierwald e.V.
Kontakt:
Helke Roßler: [email protected] 0171-1424428
Waltraud Sonnenberg: [email protected] 01705414494
Gunda Linden: [email protected] 01638714206
Manuela Wittrock: [email protected] 01512- 0213931
Julia Krzencek: [email protected]
www.tierwald.eu
Aktuell sind viele Hunde in unseren Partnertierheimen in Kroatien und in der Slowakei, Hunde in jedem Alter, vom Welpen bis zum Senior, von klein bis groß.
Bitte sprechen Sie uns einfach an, wir helfen Ihnen gerne bei der Auswahl des Hundes, der zu Ihnen passt.
Weitere Informationen
Notfelle
Impressum
Tierwald e.V.Vereinssitz: Am Aggerberg 1, 51491 Overath
1. Vorsitzende: Sylvia Martin-Zippel
E-Mail: [email protected]
Fax: ++49(0)32226835042
Amtsgericht Köln, VR 19196
Finanzamt Bergisch Gladbach
Steuernummer 204/5807/0532
Sparkasse Trier, IBAN: DE19 5855 0130 0003 6247 31; BIC: TRISDE55XXX
Tierwald e.V. ist ein als gemeinnützig anerkannter Verein mit Sitz in 51491 Overath (Amtsgericht Köln, Registerblatt VR 19196).
Tierwald e.V. verfügt über eine Erlaubnis gemäß § 11 Abs. 1 Nr. 5 Tierschutzgesetz.
Anbieter
Tiewald e.V
Tierwald e.V.
Tiewald e.V
51491 Overath
Deutschland
,
www.tierwald.eu
Kontakt zum Anbieter aufnehmen
* Diese Felder müssen ausgefüllt werden
Indem Du auf "Nachricht senden" klickst, akzeptierst Du unsere Datenschutzerklärung und unsere AGB
Nachricht senden
Weitere Inserate des Anbieters
Diese Inserate könnten Dir auch gefallen
Tiewald e.V
Tierwald e.V.
Tiewald e.V
51491 Overath
Deutschland
,
www.tierwald.eu
Anbieter kontaktieren