SCOTTI - ich mag Menschen und Hunde und bin fröhlich und gut gelaunt!
Inseratstyp: Biete
Inserats-ID: 2987752
Einstelldatum: 20.10.2025
Inseratsaufrufe: 8
400 € SchutzgebührInserats-ID: 2987752
Einstelldatum: 20.10.2025
Inseratsaufrufe: 8
Tiewald e.V
Tierwald e.V.
51491 OverathDeutschland
Aktiv seit: 20.07.2018
Anbieter kontaktieren
2987752
400 €
20.10.2025
Mischlingshunde
Mischling
Rüde
1 Jahr
Dreifarbig Braun Schwarz
Kroatien
Mittel (bis 50cm)
- Kinderfreundlich
- für Familien geeignet
- verträglich mit anderen Hunden
- kastriert/sterilisiert
- geimpft (mind. Pflichtimpfungen)
- entwurmt
- gechipt
- mit EU-Heimtierausweis
- aus dem Tierheim
- Tierschutzgesetz §11
Beschreibung
SCOTTI – Tierwald e. V.
Name: Scotti
Chipnummer: 251689
geboren: 10. Januar 2024
Geschlecht: männlich
Größe: ca. 50 cm
Rasse: Mischling
Gechipt: ja
Geimpft: ja
Kastriert/Sterilisiert: bei Abgabe ja
Aufenthaltsort: Tierheim Prijatelji/Kroatien
Die Übergabe erfolgt in 51491 Overath
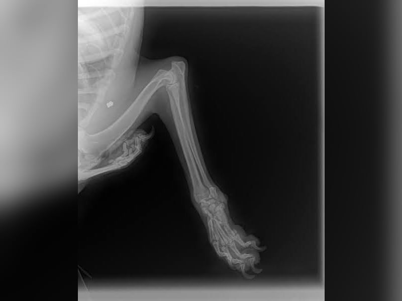
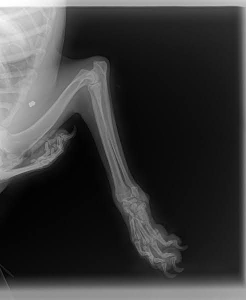
Bemerkungen: Scotti hat Probleme mit seiner Pfote, denn auf ihn wurde geschossen.
Auf Scotti wurde geschossen. Er wurde schwer an der Vorderpfote verletzt und er wurde dann auch einfach liegen gelassen. Glücklicherweise wurde der Tierschutz verständigt und Scotti wurde direkt in ärztliche Obhut gebracht. Dies alles geschah in der zweiten Januarwoche 2025.
Die Genesung von Scotti dauerte sehr lange, aber alle Bemühungen haben sich gelohnt und Scotti hat auch alle Anwendungen brav und geduldig ertragen. Die Verletzung ist aktuell verheilt, aber Scotti wird wohl sein ganzes Leben humpeln.
Scotti hat einen wunderbaren Charakter und er ist sowohl zu Menschen als auch zu Artgenossen immer freundlich und gut gelaunt. Trotz seiner Verletzung rennt und springt Scotti sehr gerne. Mit anderen Hunden mag er sich gerne beschäftigen und er liebt es, wenn er seine Zeit auf dem Trainingsgelände verbringen darf. Auch dort rennt und tobt Scotti.
Im Wohnhaus mag er sein weiches Bettchen. Dort genießt er dann seine Ruhe.
Sehr gerne darf Scotti mit seiner eigenen Familie das Hunde-Einmaleins lernen. Er freut sich nämlich, wenn sich Menschen mit ihm beschäftigen.
Die Familie darf auch sehr gerne mit Scotti spazieren gehen. Diese Spaziergänge sollten allerdings der aktuellen körperlichen Verfassung von Scotti angemessen sein. Scotti sucht eine Familie, die es nicht stört, dass Scotti mit einer Beeinträchtigung leben muss. Scotti stört das nämlich auch nicht!
Scotti versucht, ein ganz normales Leben zu führen. Wir hoffen, dass es ihm gelingt (März 2025)
https://www.youtube.com/watch?v=pV1rBLlVZro
Mit Freunden im Gehege – Casimir, Kurt, Juri, Jay und Scotti (April 2025)
https://www.youtube.com/watch?v=tbc6wtgl1D4
Wir fahren monatlich nach Kroatien und in die Slowakei, um Sachspenden zu unseren Partner-Tierheimen zu bringen. Die Hunde, die ein Zuhause gefunden haben, dürfen dann mit uns nach Deutschland ausreisen. Sie sind geimpft, gechipt, kastriert und werden mit Schutzvertrag und gegen Schutzgebühr vermittelt. Die Schutzgebühr beinhaltet unter anderem das Impfen und Chipen, die Kastration/Sterilisation und den Transport.
Welpen werden altersgerecht geimpft und sind noch nicht kastriert.
Bei Interesse oder Fragen zu den Hunden wenden Sie sich bitte an die untenstehenden Kontaktpersonen, entweder telefonisch, per E-Mail, oder über das Kontaktformular.
Bitte senden Sie uns zur besseren Kontaktaufnahme Ihre Telefonnummer und/oder E-Mail-Adresse mit. Vielen Dank.
Tierwald e.V.
Kontakt:
Helke Roßler: [email protected] 0171-1424428
Waltraud Sonnenberg: [email protected] 01705414494
Gunda Linden: [email protected] 01638714206
Manuela Wittrock: [email protected] 01512- 0213931
Julia Krzencek: [email protected]
www.tierwald.eu
Aktuell sind viele Hunde in unseren Partnertierheimen in Kroatien und in der Slowakei, Hunde in jedem Alter, vom Welpen bis zum Senior, von klein bis groß.
Bitte sprechen Sie uns einfach an, wir helfen Ihnen gerne bei der Auswahl des Hundes, der zu Ihnen passt.
Name: Scotti
Chipnummer: 251689
geboren: 10. Januar 2024
Geschlecht: männlich
Größe: ca. 50 cm
Rasse: Mischling
Gechipt: ja
Geimpft: ja
Kastriert/Sterilisiert: bei Abgabe ja
Aufenthaltsort: Tierheim Prijatelji/Kroatien
Die Übergabe erfolgt in 51491 Overath
Bemerkungen: Scotti hat Probleme mit seiner Pfote, denn auf ihn wurde geschossen.
Auf Scotti wurde geschossen. Er wurde schwer an der Vorderpfote verletzt und er wurde dann auch einfach liegen gelassen. Glücklicherweise wurde der Tierschutz verständigt und Scotti wurde direkt in ärztliche Obhut gebracht. Dies alles geschah in der zweiten Januarwoche 2025.
Die Genesung von Scotti dauerte sehr lange, aber alle Bemühungen haben sich gelohnt und Scotti hat auch alle Anwendungen brav und geduldig ertragen. Die Verletzung ist aktuell verheilt, aber Scotti wird wohl sein ganzes Leben humpeln.
Scotti hat einen wunderbaren Charakter und er ist sowohl zu Menschen als auch zu Artgenossen immer freundlich und gut gelaunt. Trotz seiner Verletzung rennt und springt Scotti sehr gerne. Mit anderen Hunden mag er sich gerne beschäftigen und er liebt es, wenn er seine Zeit auf dem Trainingsgelände verbringen darf. Auch dort rennt und tobt Scotti.
Im Wohnhaus mag er sein weiches Bettchen. Dort genießt er dann seine Ruhe.
Sehr gerne darf Scotti mit seiner eigenen Familie das Hunde-Einmaleins lernen. Er freut sich nämlich, wenn sich Menschen mit ihm beschäftigen.
Die Familie darf auch sehr gerne mit Scotti spazieren gehen. Diese Spaziergänge sollten allerdings der aktuellen körperlichen Verfassung von Scotti angemessen sein. Scotti sucht eine Familie, die es nicht stört, dass Scotti mit einer Beeinträchtigung leben muss. Scotti stört das nämlich auch nicht!
Scotti versucht, ein ganz normales Leben zu führen. Wir hoffen, dass es ihm gelingt (März 2025)
https://www.youtube.com/watch?v=pV1rBLlVZro
Mit Freunden im Gehege – Casimir, Kurt, Juri, Jay und Scotti (April 2025)
https://www.youtube.com/watch?v=tbc6wtgl1D4
Wir fahren monatlich nach Kroatien und in die Slowakei, um Sachspenden zu unseren Partner-Tierheimen zu bringen. Die Hunde, die ein Zuhause gefunden haben, dürfen dann mit uns nach Deutschland ausreisen. Sie sind geimpft, gechipt, kastriert und werden mit Schutzvertrag und gegen Schutzgebühr vermittelt. Die Schutzgebühr beinhaltet unter anderem das Impfen und Chipen, die Kastration/Sterilisation und den Transport.
Welpen werden altersgerecht geimpft und sind noch nicht kastriert.
Bei Interesse oder Fragen zu den Hunden wenden Sie sich bitte an die untenstehenden Kontaktpersonen, entweder telefonisch, per E-Mail, oder über das Kontaktformular.
Bitte senden Sie uns zur besseren Kontaktaufnahme Ihre Telefonnummer und/oder E-Mail-Adresse mit. Vielen Dank.
Tierwald e.V.
Kontakt:
Helke Roßler: [email protected] 0171-1424428
Waltraud Sonnenberg: [email protected] 01705414494
Gunda Linden: [email protected] 01638714206
Manuela Wittrock: [email protected] 01512- 0213931
Julia Krzencek: [email protected]
www.tierwald.eu
Aktuell sind viele Hunde in unseren Partnertierheimen in Kroatien und in der Slowakei, Hunde in jedem Alter, vom Welpen bis zum Senior, von klein bis groß.
Bitte sprechen Sie uns einfach an, wir helfen Ihnen gerne bei der Auswahl des Hundes, der zu Ihnen passt.
Weitere Informationen
Notfelle
Impressum
Tierwald e.V.Vereinssitz: Am Aggerberg 1, 51491 Overath
1. Vorsitzende: Sylvia Martin-Zippel
E-Mail: [email protected]
Fax: ++49(0)32226835042
Amtsgericht Köln, VR 19196
Finanzamt Bergisch Gladbach
Steuernummer 204/5807/0532
Sparkasse Trier, IBAN: DE19 5855 0130 0003 6247 31; BIC: TRISDE55XXX
Tierwald e.V. ist ein als gemeinnützig anerkannter Verein mit Sitz in 51491 Overath (Amtsgericht Köln, Registerblatt VR 19196).
Tierwald e.V. verfügt über eine Erlaubnis gemäß § 11 Abs. 1 Nr. 5 Tierschutzgesetz.
Anbieter
Tiewald e.V
Tierwald e.V.
Tiewald e.V
51491 Overath
Deutschland
,
www.tierwald.eu
Kontakt zum Anbieter aufnehmen
* Diese Felder müssen ausgefüllt werden
Indem Du auf "Nachricht senden" klickst, akzeptierst Du unsere Datenschutzerklärung und unsere AGB
Nachricht senden
Weitere Inserate des Anbieters
Diese Inserate könnten Dir auch gefallen
Tiewald e.V
Tierwald e.V.
Tiewald e.V
51491 Overath
Deutschland
,
www.tierwald.eu
Anbieter kontaktieren